分享
查看: 3371|回复: 0

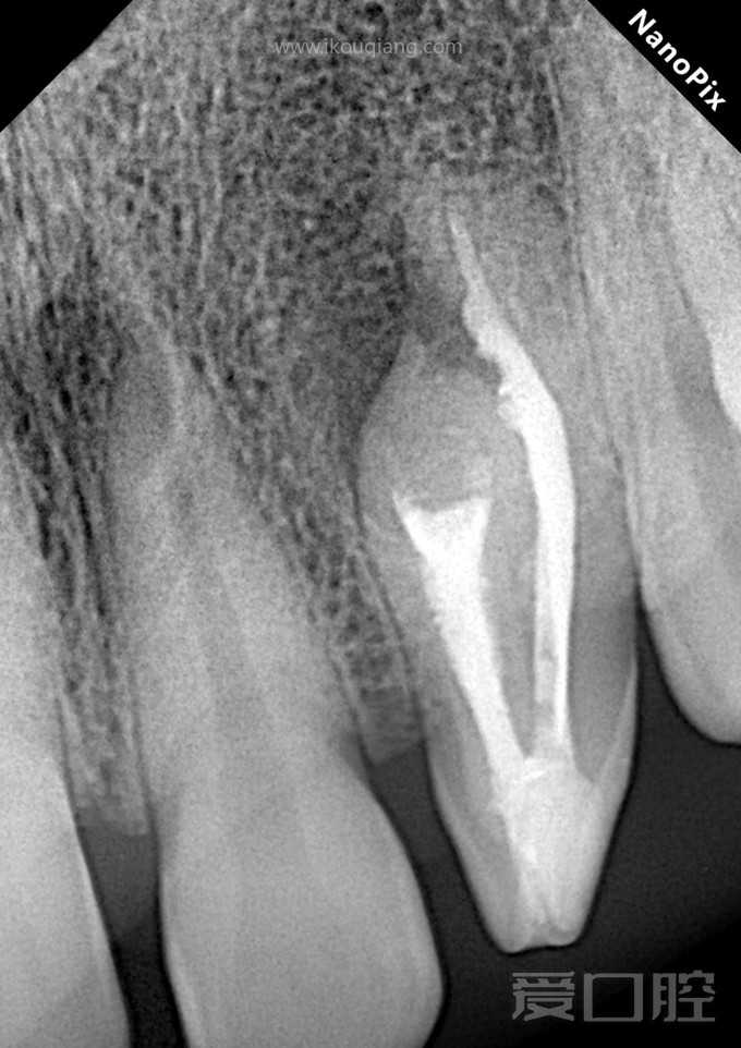
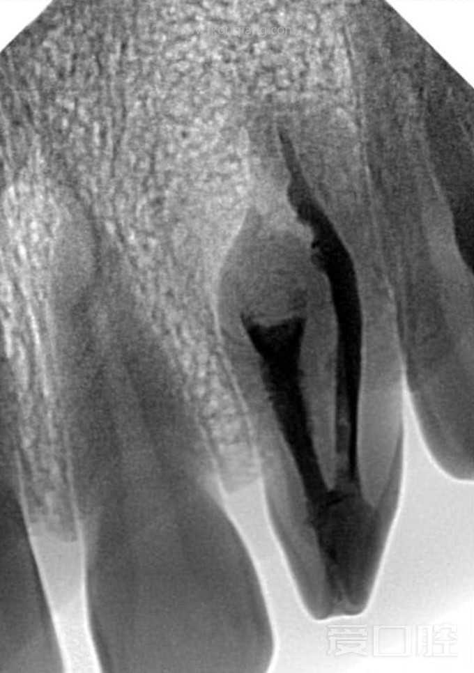
上2牙内陷根充1例

[复制链接]

上2牙内陷根充1例

发表于 2023-5-2 20:25:41 阅读模式 倒序浏览
3371 0 查看全部

请登陆后查看

您需要 登录 才可以下载或查看,没有账号?立即注册

x
by Zainab Hussien Alzaidy

1.jpg

2.jpg

3.jpg

4.jpg

5.jpg

6.jpg
回复

使用道具 举报

游客~
您需要登录后才可以回帖 登录 | 立即注册

本版积分规则