分享
查看: 2803|回复: 0

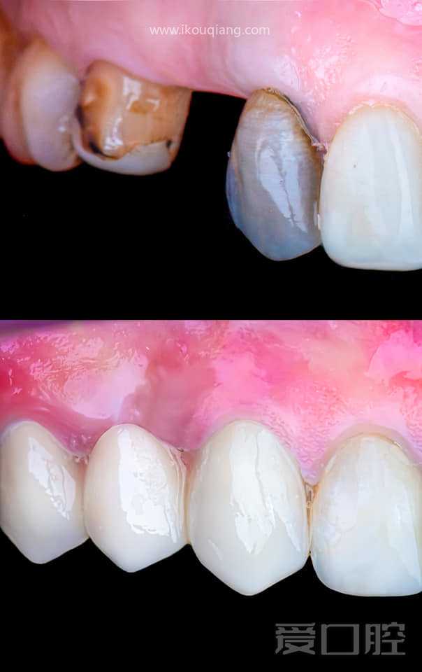
[病例] 如此的丝滑,看个固定桥修复 —— 右上3、4、5

[复制链接]

如此的丝滑,看个固定桥修复 —— 右上3、4、5

发表于 2023-5-5 18:42:02 来自 病例 阅读模式 倒序浏览
2803 0 查看全部

请登陆后查看

您需要 登录 才可以下载或查看,没有账号?立即注册

x
by Mohammed Ali Fadhil

1.jpg

2.jpg

3.jpg

4.jpg

5.jpg

6.jpg

7.jpg

8.jpg

9.jpg

10.jpg

11.jpg

12.jpg
回复

使用道具 举报

游客~
您需要登录后才可以回帖 登录 | 立即注册

本版积分规则