分享
查看: 3098|回复: 0

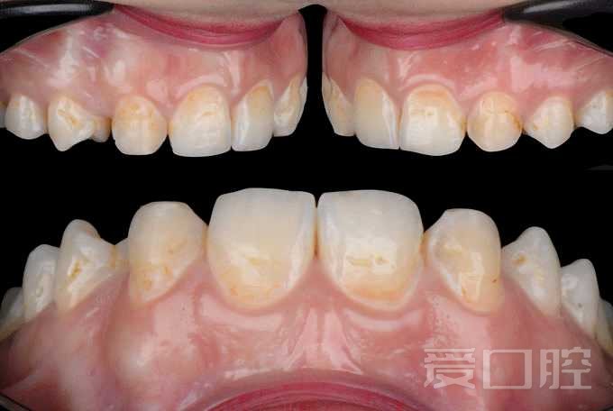
[病例] 看个病例 —— 上颌5-5冠修复

[复制链接]

看个病例 —— 上颌5-5冠修复

发表于 2023-5-16 20:55:58 来自 病例 阅读模式 倒序浏览
3098 0 查看全部

请登陆后查看

您需要 登录 才可以下载或查看,没有账号?立即注册

x
by Ahmed Saad

1.jpg

2.jpg

3.jpg

4.jpg

5.jpg

6.jpg

7.jpg

8.jpg

9.jpg

10.jpg

11.jpg

12.jpg

13.jpg

14.jpg

15.jpg

16.jpg

17.jpg

18.jpg

19.jpg

20.jpg
回复

使用道具 举报

游客~
您需要登录后才可以回帖 登录 | 立即注册

本版积分规则