分享
查看: 2238|回复: 0

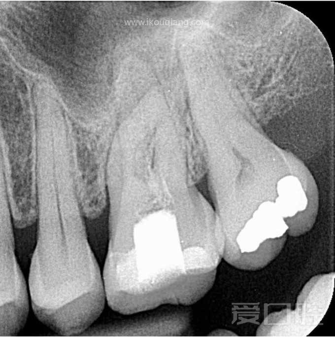
看个根充 —— 上6

[复制链接]

看个根充 —— 上6

发表于 2023-6-8 21:03:45 阅读模式 倒序浏览
2238 0 查看全部

请登陆后查看

您需要 登录 才可以下载或查看,没有账号?立即注册

x
by Younes Alipanah

1.jpg

2.jpg

3.jpg

4.jpg
回复

使用道具 举报

游客~
您需要登录后才可以回帖 登录 | 立即注册

本版积分规则