分享
查看: 6508|回复: 0

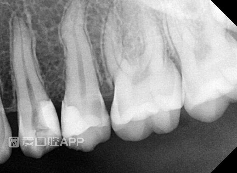
看个补牙 —— 上颌456

[复制链接]

看个补牙 —— 上颌456

发表于 2023-8-30 21:12:29 阅读模式 倒序浏览
6508 0 查看全部

请登陆后查看

您需要 登录 才可以下载或查看,没有账号?立即注册

x
by Eslam Kabbany

1.jpg

2.jpg

3.jpg

4.jpg

5.jpg

6.jpg

7.jpg

8.jpg

9.jpg

10.jpg

11.jpg

12.jpg

13.jpg

14.jpg

15.jpg
回复

使用道具 举报

游客~
您需要登录后才可以回帖 登录 | 立即注册

本版积分规则