分享
查看: 5863|回复: 0

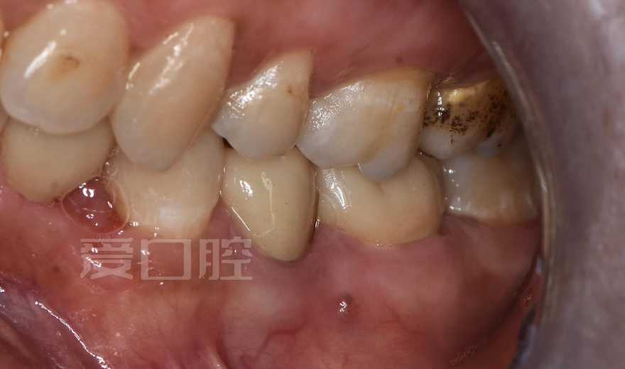
看个根管+修复 —— 下5、下6

[复制链接]

看个根管+修复 —— 下5、下6

发表于 2023-4-20 14:38:24 阅读模式 倒序浏览
5863 0 查看全部

请登陆后查看

您需要 登录 才可以下载或查看,没有账号?立即注册

x
每颗牙齿都应该得到另一个机会,只要有可能!—— by Ahmad L Kholy

1.jpg

2.jpg

3.jpg

4.jpg

5.jpg

6.jpg

7.jpg

8.jpg

9.jpg

10.jpg

11.jpg

12.jpg

13.jpg

14.jpg
回复

使用道具 举报

游客~
您需要登录后才可以回帖 登录 | 立即注册

本版积分规则