分享
查看: 6024|回复: 0

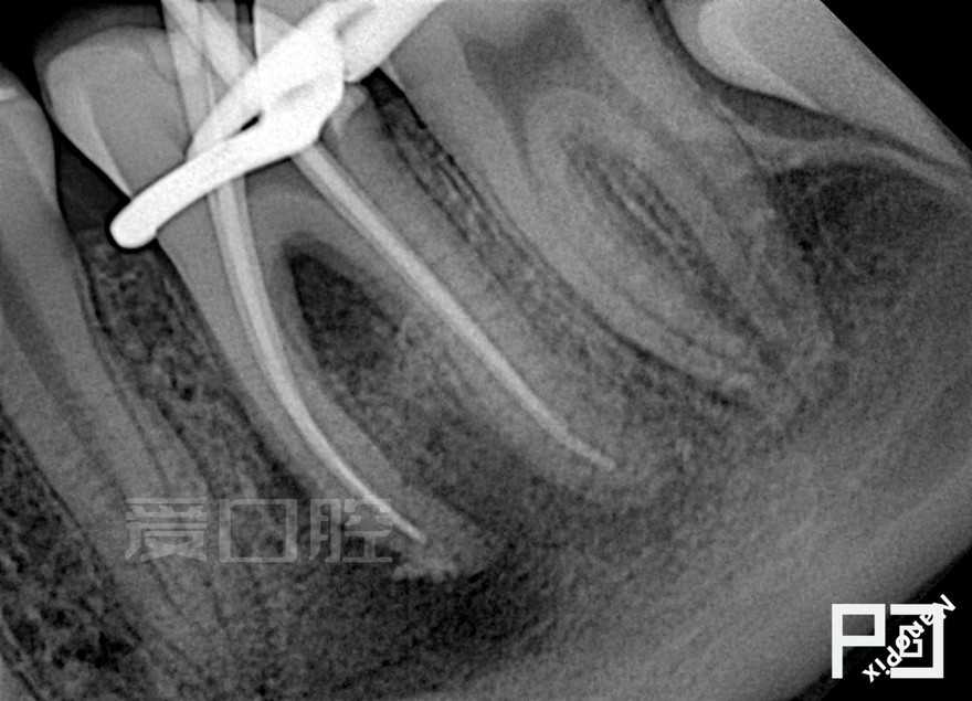
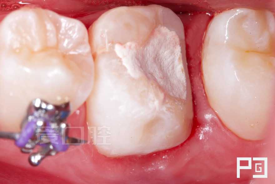
看个根充 —— 下6

[复制链接]

看个根充 —— 下6

发表于 2023-4-20 14:41:03 阅读模式 倒序浏览
6024 0 查看全部

请登陆后查看

您需要 登录 才可以下载或查看,没有账号?立即注册

x
by Paco CG

1.jpg

2.jpg

3.jpg

4.jpg

5.jpg

6.jpg

7.jpg

8.jpg

9.jpg

10.jpg

11.jpg

12.jpg

13.jpg

14.jpg

15.jpg
回复

使用道具 举报

游客~
您需要登录后才可以回帖 登录 | 立即注册

本版积分规则