分享
查看: 4201|回复: 0

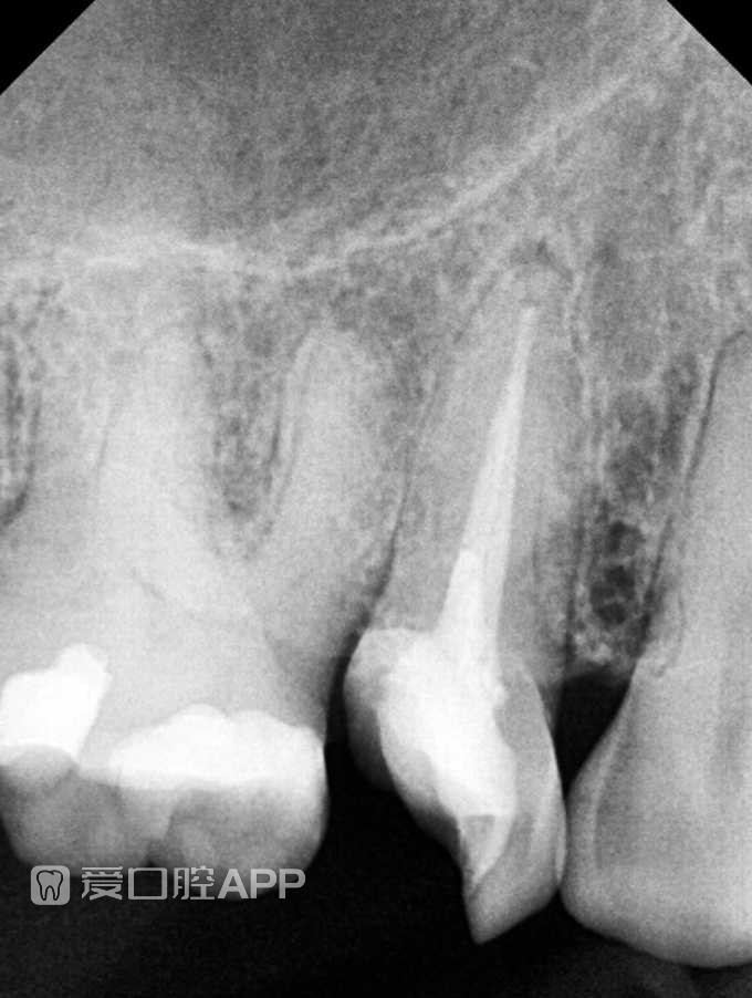
[病例] 看个嵌体修复 —— 上颌第一前磨牙 附1年后随访

[复制链接]

看个嵌体修复 —— 上颌第一前磨牙 附1年后随访

发表于 2023-11-28 21:14:29 来自 病例 阅读模式 倒序浏览
4201 0 查看全部

请登陆后查看

您需要 登录 才可以下载或查看,没有账号?立即注册

x
by Dennis Quintero Santos

唯一遗憾就是有点欠充
1.jpg

2.jpg

3.jpg

4.jpg

5.jpg

6.jpg

7.jpg

8.jpg

9.jpg

10.jpg

11.jpg

12.jpg

13.jpg

14.jpg

15.jpg

16.jpg

17.jpg

18.jpg

19.jpg

20.jpg

21.jpg

22.jpg

23.jpg

24.jpg

25.jpg

26.jpg

27.jpg

28.jpg

29.jpg

30.jpg

31.jpg

32.jpg

33.jpg

34.jpg

35.jpg

36.jpg

37.jpg

38.jpg
回复

使用道具 举报

游客~
您需要登录后才可以回帖 登录 | 立即注册

本版积分规则