分享
查看: 9127|回复: 0

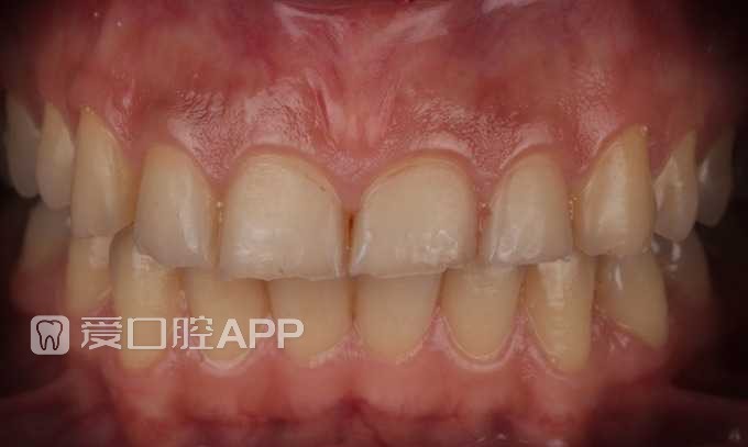
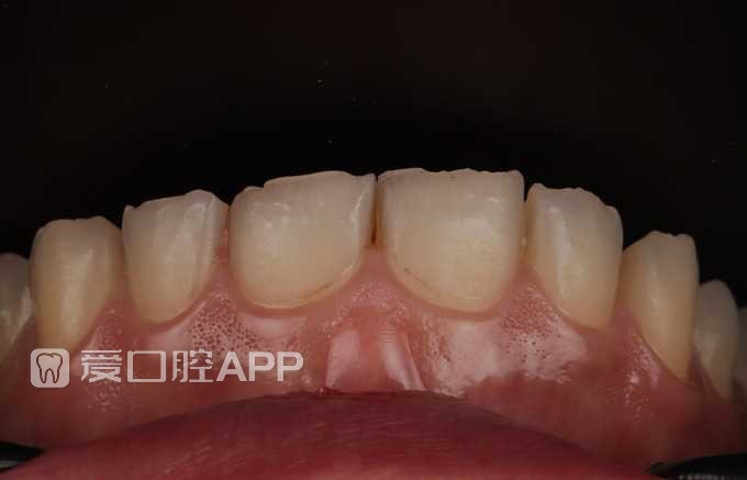
看个漂亮的树脂美学 —— 上前牙

[复制链接]

看个漂亮的树脂美学 —— 上前牙

发表于 2023-12-9 21:40:22 阅读模式 倒序浏览
9127 0 查看全部

请登陆后查看

您需要 登录 才可以下载或查看,没有账号?立即注册

x
by  Dr Mohammed Haji
患者女 26岁

1.jpg

2.jpg

3.jpg

4.jpg

5.jpg

6.jpg

7.jpg

8.jpg

9.jpg

10.jpg

11.jpg

12.jpg

13.jpg

14.jpg

15.jpg

16.jpg

17.jpg

18.jpg

19.jpg

20.jpg
回复

使用道具 举报

游客~
您需要登录后才可以回帖 登录 | 立即注册

本版积分规则